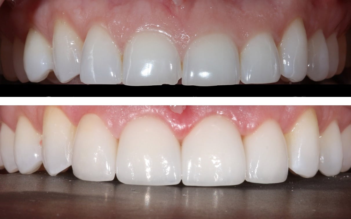
Central Dental Group has been behind some of Toronto’s most beautiful smiles. With our team of dental experts, it is possible to bring out the best in your facial appearance. Seeing the smiles we have treated, we hope that you have gained familiarity with our ethics and skill. After browsing our gallery of smiles, please call (416) 789 1372 to schedule your visit.




















